心理所合作研究通過定量脊髓磁共振成像評估中樞神經系統脫髓鞘疾病
中樞神經系統脫髓鞘疾病(demyelinating central nervous system disease)是一種自身免疫系統疾病,臨床最常見的類型是多發性硬化癥(multiple sclerosis,MS),一種病因不明的T細胞主導免疫疾病。近年來,由水通道蛋白-4抗體(aquaporin-4 antibody,下文簡稱AQP4-Ab)引起的繼發型脫髓鞘疾病視神經脊髓炎譜系障礙及由髓鞘少突膠質細胞糖蛋白抗體(myelin oligodendrocyte glycoprotein antibody, 下文簡稱MOG-Ab)引起的原發型脫髓鞘疾病也在臨床上受到了更多關注。
MOG-Ab疾病、AQP4-Ab疾病和多發性硬化癥雖具有一定的臨床相似性,但也具有各自獨特的發病機理和臨床表征。了解驅動這些差異出現的因素,能夠幫助人們更深入地理解這些疾病,從而更好地開展早期診斷、治療方案優化和預后監測。
脊髓病變是這三種疾病共有的顯著標志,它可能是許多臨床表征(特別是肢體殘疾和神經病理性疼痛等)的主要成因。脊髓磁共振成像為非侵入式研究脊髓病變提供了可能,但在這種體積小、不斷隨生理節律移動的結構上成像,非常具有技術挑戰性。
2020年11月18日,中國科學院行為科學重點實驗室孔亞卓研究員和牛津大學臨床神經科學系Jacqueline Palace教授團隊在國際權威神經科學雜志Brain在線發表了題為《Quantitative Spinal Cord MRI in MOG-Antibody Disease,Neuromyelitis Optica and Multiple Sclerosis》的研究論文。
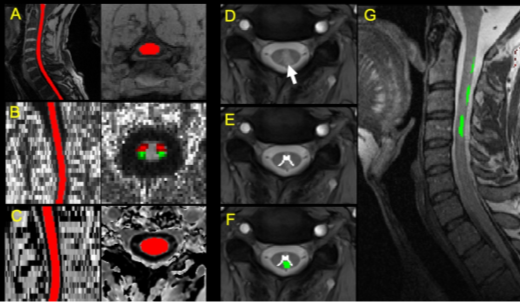
該研究是單中心臨床磁共振成像研究,運用多模態定量脊髓磁共振成像(quantitative spinal cord MRI)技術,招募了多發性硬化癥患者、MOG-Ab疾病患者、AQP4-Ab疾病患者和健康志愿者共80人,獲取其頸部等區域脊髓的截面積、病灶分布、纖維束各向異性分數和磁轉化率等多項定量指標(圖1),用于區分三種中樞神經系統脫髓鞘疾病,并評估其與殘疾指數和病理性疼痛等臨床指標的關聯性。

圖1 (A)脊髓結構分割示意,(B)各向異性分數(FA)圖、脊髓丘腦束(紅色)和皮層脊髓束(綠色),(C)磁轉化圖像分割,(D)T2* 軸位圖,顯示灰質和病灶,(E)灰質分割,(F)病灶分割,(G)病灶配準到T2結構像。
研究首先運用主成分分析方法測試了脊髓成像定量指標對疾病類型的分辨和預測能力,結果發現,脊髓磁共振成像定量指標成功區分三種中樞神經系統脫髓鞘疾病(圖2)。

圖2 通過正交偏最小二乘模型得出的預測結果:(A)MOG-Ab疾病與多發性硬化癥,(B)MOG-Ab疾病與AQP4-Ab疾病,(C)AQP4-Ab疾病與多發性硬化癥。
該研究通過比較脊髓成像定量指標與臨床指標的關系,發現脊髓的結構萎縮與患者的殘疾指數相關最顯著,說明脊髓結構損傷可能是脫髓鞘疾病致殘的主要因素。隨后,通過多重回歸模型,研究發現脊髓丘腦束的FA值與患者的神經病理性疼痛評分顯著負相關。脊髓丘腦束位于脊髓白質中,由脊髓側索和脊髓前索兩部分組成,是感覺信息由脊髓上行傳遞至大腦的重要通路,該結果進一步證明感覺上行通路—脊髓丘腦束的損傷可能是脫髓鞘疾病伴發神經病理性疼痛的重要因素。基于這一研究結果,脊髓彌散張量成像的白質纖維束分析有望成為神經病理性疼痛研究的有效工具。
MOG-Ab是新定型的疾病,相關研究較少,其是否會對中樞神經系統的灰質結構產生影響是亟待解決的問題。研究進一步發現,MOG-Ab疾病患者脊髓灰質體積減少,而且單相和復發型MOG-Ab疾病患者的脊髓灰質體積存在顯著差異。這一發現為MOG-Ab疾病患者灰質結構受損提供了第一個定量指標證據,并且證明出現復發過程患者的灰質受損更為嚴重,對于臨床治療具有一定參考價值。
目前,大腦磁共振成像和分析技術已經相對成熟,但脊髓磁共振成像仍面臨諸多挑戰。脊髓磁共振成像作為開展脊髓結構和功能研究的非侵入性研究技術,可以為脊髓疾病的發生、發展和預后提供更加具體和定量化的生理指標,對于基礎研究和臨床應用都具有重要意義。隨著成像技術的改進及分析流程的開發,脊髓磁共振成像在人體感覺、運動等基礎科學研究,以及脊髓損傷、脊髓炎、多發性硬化癥、肌萎縮性側索硬化癥和慢性疼痛等疾病的臨床應用中逐漸得到推廣使用。
中國科學院心理研究所孔亞卓研究員和牛津大學臨床神經科學系Jacqueline Palace教授為該研究的共同通訊作者,研究受國家自然科學基金項目(No. 81570410)和中國科學院“科研信息化應用工程”項目(XXH13506-306)等資助。
論文信息:
Mariano, R., Messina, S., Roca-Fernandez, A., Leite, M. I., Kong, Y.#, & Palace, J. A.# (2020). Quantitative spinal cord MRI in MOG-antibody disease, neuromyelitis optica and multiple sclerosis. Brain,awaa347. Advance online publication. https://doi.org/10.1093/brain/awaa347
附件下載: