心理所研究揭示精神分裂癥患者的疼痛不敏感性及其神經機制
臨床案例曾報告,精神分裂癥患者對諸如心肌梗塞、化膿性闌尾炎等疾病缺少疼痛相關的反應,即精神分裂癥患者可能表現出疼痛敏感性下降。疼痛敏感性的下降可能延誤醫生對精神分裂癥患者軀體疾病的診斷及治療,致使患者健康狀況惡化,甚至威脅其生命,增加精神分裂癥患者的死亡率和傷殘率,嚴重影響患者預后。目前,有關這一現象的神經機制尚不明確,缺乏相關研究。關注精神分裂癥患者的疼痛敏感性及其內在的神經機制,有助于加強對患者軀體疾病的診斷和治療,促進其臨床康復。
鑒于上述問題,中國科學院心理健康重點實驗室的胡理研究員與北京回龍觀醫院精神醫學研究中心譚淑平主任開展了合作項目,結合行為測量、腦電和磁共振成像技術,通過比較多模態感覺刺激(痛覺、觸覺和聽覺)誘發的行為反應和腦響應特征,系統研究精神分裂癥患者疼痛敏感性的特性及其內在神經機制。
該研究分兩個實驗進行。實驗一基于神經電生理的視角,采用多模態感覺刺激——反應范式,考察精神分裂癥患者疼痛敏感性的變化是否具備模態特異性,并結合各個電生理特征的功能意義,探討刺激前神經振蕩信號、刺激誘發電位與精神分裂癥患者疼痛敏感性之間的關系。實驗二則基于神經影像學的視角,結合fMRI高空間分辨率的優勢,通過比較兩組人群在與疼痛信息處理相關的動態腦響應特征和靜息態腦功能連接的差異,從功能層面進一步解析精神分裂癥患者疼痛敏感性變化的神經機制。
通過上述實驗研究發現:
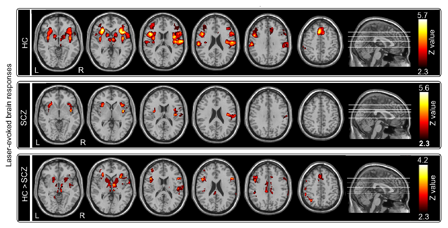
(1)與健康人群相比,精神分裂癥患者對疼痛刺激不敏感,表現為患者對疼痛的主觀強度評分較低、激光疼痛誘發電位各成分振幅較低和潛伏期較長(圖1)、激光疼痛誘發BOLD腦響應較低(圖2)。

圖 1精神分裂癥患者與健康人群在多模態感覺刺激誘發的腦響應差異

圖 2 精神分裂癥患者與健康人群在疼痛刺激誘發的BOLD腦響應差異
(2)精神分裂癥患者的刺激前α神經振蕩的幅度明顯大于健康人群,并且刺激前低頻α振蕩(6-7Hz)與疼痛主觀強度評分之間存在顯著的負相關性。這表明,精神分裂癥患者刺激前α神經振蕩的異常可能成為其疼痛不敏感的內在原因之一。
(3)精神分裂癥患者的疼痛不敏感可能還涉及與疼痛上行和下行調節相關的通路,以丘腦和中腦導水管周圍灰質(二者分別為上行和下行疼痛調節通路中的關鍵節點)為種子點的功能連接分析顯示:與健康人群相比,精神分裂癥患者中丘腦與右側初級軀體感覺皮層、右側次級軀體感覺皮層和左側后腦島的功能連接增強,中腦導水管周圍灰質與右側后腦島、輔助運動區、背側前扣帶回和背外側前額葉的功能連接減弱(圖3)。

圖 3 精神分裂癥患者與健康人群在基于種子點的靜息態功能連接差異
該研究揭示了精神分裂癥患者疼痛敏感性異常的復雜本質,也提示臨床醫療應重視對精神分裂癥患者疼痛的評估,以改善患者預后,提高其生活質量。
該研究獲得國家自然科學基金委項目(31671141和31822025)、中國科學院信息化專項(XXH13506-306)和中國科學院心理研究所科研啟動基金(Y6CX021008)的資助。相關研究成果已在線發表于Human Brain Mapping:
https://onlinelibrary.wiley.com/doi/full/10.1002/hbm.24906
論文信息:
Zhou L., Bi Y., Liang M., Kong Y., Tu Y., Zhang X., Song Y., Du X., Tan S. & Hu L. A modality-specific dysfunction of pain processing in schizophrenia [J]. Human Brain Mapping. https://doi.org/10.1002/hbm.24906
附件下載: